Um dos maiores desafios da neurocirurgia é a orientação no local da cirurgia. Isto porque no tratamento de cânceres do cérebro, os cirurgiões muitas vezes têm que operar através do tecido saudável e funcional.
O desafio é sempre tentar, o quanto possível, poupar o tecido saudável ao remover o máximo possível do tumor. Uma das técnicas de maior evidência neste tipo de cirurgia é a neuronavegação, técnica que facilita o planejamento e orientação intraoperatória.
O método de imagem é não-invasivo, e vem sendo usado mundialmente, principalmente, para aplicações neurocirúrgicas, como a ressecção do tumor ou o tratamento de aneurismas.
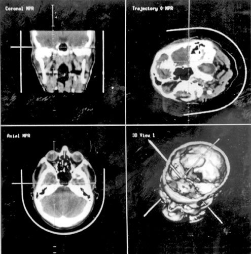
A neuronavegação funciona como uma espécie de GPS, que permite localizar a posição exata da lesão na anatomia do paciente. A presença de tumores ou danos nos tecidos causados por acidentes traumáticos pode deformar o resultado das imagens da topografia cerebral, resultando em maior dificuldade de se localizar exatamente seus limites.
Os pacientes em que a neurocirurgia é a opção mais viável são submetidos a exames de imagem, notadamente, de ressonância magnética. O objetivo é mapear as regiões cerebrais responsáveis pelas funções sensoriais e motoras. Com o resultado do exame em mãos, o cirurgião define com mais segurança o planejamento cirúrgico.
Localização exata
No Hospital Santa Cruz, em Curitiba, equipes especializadas e aparelhos ultramodernos tratam pacientes diariamente, e fazem da instituição referência nacional na área de neurocirurgia e no tratamento de doenças cérebrovasculares.
A técnica da neuronavegação é uma delas. O método moderno se baseia no mapeamento tridimensional do cérebro, com o auxílio de um microscópio de última geração que projeta uma imagem virtual das lesões aos olhos do cirurgião.
Por meio dessa técnica, o neurocirurgião consegue visualizar o lugar exato das lesões mais profundas do órgão, podendo chegar a elas de maneira precisa e inequívoca.
De acordo com o neurocirurgião e coordenador do Serviço de Neurocirurgia do Hospital Santa Cruz, Luiz Roberto Aguiar, a neuronavegação propicia ao paciente inúmeros benefícios, entre eles, incisões menores durante a cirurgia, menor perda de sangue, menor tempo cirúrgico, menor permanência na UTI, eficácia na localização de lesões e precisão milimétrica do procedimento.
Além da neuronavegação, outras tecnologias garantem o êxito dos procedimentos cirúrgicos de doenças cérebrovasculares, entre elas, a monitoração neurofisiológica intraoperatória, que permite o mapeamento de todos os estímulos nervosos do paciente (audição, fala, memória, motricidade e sensibilidade geral), diminuindo em quatro vezes as chances de lesões neurológicas de risco.
O serviço de neurocirurgia também utiliza a angiografia intraoperatória, uma técnica especial que consiste na injeção de contraste na veia do paciente, permitindo identificar com exatidão as artérias que dão formação à lesão. “Essa tecnologia permite que o neurocirurgião atue com perfeição, sem prejudicar o tecido que não seja a lesão em si”, afirma Aguiar.
Pós-operatório
Segundo o coordenador, a neurocirurgia moderna tem como foco deixar o mínimo de sequelas nos pacientes. “Recuperar um dano neurológico que o paciente já apresenta no pré-operatório pode ser mais difícil, contudo, produzir um dano adicional durante a cirurgia também é im,portante”, garante, salientando que o hospital possui recursos tecnológicos suficientes, na neurocirurgia, para prever lesões adicionais e evitá-las instantaneamente.
De acordo com o neurocirurgião, os danos neurológicos nos pacientes são provocados pelas doenças, não pela cirurgia. “Nenhuma ciência médica se desenvolveu tanto quanto a cirurgia do cérebro nos últimos anos”, enfatiza.
A estrutura do Hospital Santa Cruz permite a realização da ressonância magnética intraoperatória, durante as neurocirurgias. “Fazemos a ressecção do tumor, levamos o paciente anestesiado para a unidade de ressonância magnética – que fica ao lado do centro cirúrgico – e voltamos para a sala de cirurgia”, explica Aguiar. “Isto significa que, se ainda houver algum resquício de tumor, conseguimos ressecá-lo completamente”, completa.
De acordo com o médico, o pós-operatório é feito na UTI. Com as modernas técnicas de anestesia endovenosa, o paciente sai da sala de cirurgia falando normalmente. Esse “ganho”, no seu entender é muito importante para o prognóstico da doença, pois fica mais fácil avaliar o resultado da cirurgia.
A importância do exercício cerebral
| O tumor cerebral é o décimo tumor mais frequente no ser humano, e atinge cerca de 2% da população mundial. 60% dos tumores cerebrais são fatais. |
Por mais de quatro séculos se imaginava que o cérebro se desenvolvia somente durante a infância e depois se tornava inflexível ao longo da vida adulta. Na verdade, muita coisa muda no cérebro ao longo da vida, principalmente, por conta da sua própria atividade.
Pesquisadores fornecem provas de que o cérebro humano pode se alterar por meio de estímulos mentais, ginástica cerebral e novos aprendizados. Uma das técnicas é conhecida por neuroplasticidade.
Ela se refere à maneira do nosso cérebro agir e reagir à medida que experimentamos uma mudança em nosso ambiente ou desenvolvemos uma habilidade.
Quando o cérebro é usado de novas formas são criados novos caminhos para comunicação neural. Mesmo em adultos, o que se aprende ao longo da vida reorganiza os neurônios existentes. Assim, a neuroplasticidade é o que nos permite aprender, memorizar e adaptar por meio da experiência com o mundo a nossa volta.
A pesquisadora Joenna Driemeyer concluiu que “a mudança qualitativa (como por exemplo, o aprendizado de uma nova tarefa) é mais crítica para o cérebro mudar a estrutura do que o treinamento contínuo de uma tarefa já aprendida”.
Como resultado, quanto menos se usa uma função cerebral, pior ela fica, ao mesmo tempo em que quanto mais se usa o cérebro em um tipo de atividade, melhor ele é capaz de realizá-la.
Por isso a atividade mental rica e variada, com a exploração constante da funções cognitivas, é importante para manter todos os circuitos ativos e saudáveis, prontos para o uso. Lembre-se que exercitar o cérebro é tão importante quanto exercitar o corpo.
